RussianNew York Homepage
Русские концерты на Американской сцене
  News   Events   Dating   Classifieds   Forum   Chat   YP   TV/Video    Photos 
 News Central
В мире
  Политика
  Разное
Бизнес
  Деньги
Общество
  Мода
  Религия
  Светская жизнь
  Шоу Бизнес
  Пикантные новости
  Животные
  Криминал
Спорт
Искусство
  Кино
  Музыка
Авто
Hi-Tech
  Интернет
  Hardware
  SoftNews
Здоровье
Путешествия
Вокруг света
USA
Россия
  
Ресурсы
  Самые последние
  Самые читаемые
Архив
 Другие ресурсы
Все Ресурсы

Рассылки
Газеты
Журналы
ТВ - Online
Радио

Юмор
  Анекдоты
  Игры
  Этикетки
  
Открытки
  Поздравь друга
  
Программа TV
Кино
  Новости кино
  Кинообзоры
  
Музыка
  Радио в internet
  Russian Top
  
Спорт
Web Обзоры Exler.ru
  
Читальный зал
ЭКСпромт - статьи для чайников
Компьютерные игры
Finance News
Автообзоры
Russian America Journal Digest
 Смотрите также
Yellow Pages
Объявления
Чат
Форум
  последнее

Читальный зал
  Стихи
  Проза
  Кулинария

Едем в Америку!
  Иммиграция
  Визы
  Советы

Знакомства
Фотоальбомы
Top Rating
  America TOP
  
Последние новости со всего мира.
 
NEWS CENTRAL >> Hi-Tech

Hi-Tech

В университете Йорка нашли 2000-летний мозг
5:40AM Saturday, Dec 13, 2008
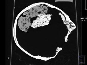
Сканирование найденного в Йорке черепа. Фото ©AFP

Сканирование найденного в Йорке черепа. Фото ©AFP
В Университете Йорка на севере Англии в ходе земляных работ был обнаружен череп, внутри которого сохранился мозг, передает в пятницу агентство Associated Press.

По мнению ученых, черепу более 2000 лет, что делает его древнейшей находкой такого рода на территории Великобритании и одной из древнейших в мире. Мозг достаточно хорошо сохранился, хотя пока нельзя сказать, обнаружен ли весь орган или только его часть.

Пока не выдвинута основная версия, почему голову древнего человека захоронили отдельно от тела. Среди предположений - ритуальное погребение и жертвоприношение. По мнению экспертов, едва ли исследование найденного мозга принесет открытия в области неврологии, однако с точки зрения археологии этот череп весьма привлекателен.

Как рассказал агентству один из археологов, древнейшие дошедшие до нас черепа с сохранившимся внутри мозгом были обнаружены в торфяном болоте в штате Флорида в 1986 году. Тем находкам более 8000 лет, добавил ученый.

По материалам lenta.ru
Смотрите также: Hi-Tech, Интернет, Hardware, SoftNews
 
Читайте также:

На Титане обнаружены активные криовулканы

Шаттл "Индевор" доставлен во Флориду

Обнаружен самый горячий белый карлик

"Шепчущие" летучие мыши оказались громче трактора

Ответственность за формирование планет возложили на звездный ветер

Первый полет коммерческого ракетоплана состоится в ближайшие две недели


В космос отправили фильм для инопланетян

Ученые объяснили присутствие в метеоритах наноалмазов

Физики придумали новый способ поиска темной материи

Археологи обнаружили древний тайник с марихуаной

Глава NASA был потрясен критикой в свой адрес

NASA завершило миссию марсианского орбитального зонда

Археоптериксу сделали рентген

Зоопарки оказались потребителями диких слонов

Астрономы разработали новый метод поиска обитаемых лун

У использованных кофейных зерен нашли энергетический потенциал

Лозунги защитников животных разместили на гробах

Астрономы научились определять точные размеры экзопланет

Притяжение Юпитера сделало льды Европы тоньше

Глава NASA обвинил команду Обамы в непрофессионализме

Ученые обнаружили самые тусклые звезды



Рассылки:
  Новости-почтой
  TV-Программа
  Гороскопы
  Job Offers
  Концерты
  Coupons
  Discounts
  Иммиграция
  Business News
  Анекдоты
Многое другое...

News Central Home | News Central Resources | Portal News Resources | Help | Login
Russian America Top Holostyak.com Рейтинг@Mail.ru © 2025 RussianAMERICA Holding
All Rights Reserved • Contact